Понимание того, какие клетки в опухоли будут способствовать образованию метастазов, остается одной из главных задач в борьбе с раком. Исследование, возглавляемое Анхелой Ньето, было проведено в Институте нейронаук (IN), совместном центре Испанского национального исследовательского совета (CSIC) и Университета Мигеля Эрнандеса (UMH) в Эльче. Работа дает неожиданный ответ: клетки, из которых разовьются метастазы, можно обнаружить уже в первичной опухоли.
Исследование, опубликованное в Nature Communications, объединяет анализ мышиной модели рака молочной железы с данными о пациентах. Результаты показывают, что на инвазивном фронте опухоли существует особая популяция клеток, способных как проникать в другие ткани, так и либо размножаться, либо переходить в состояние покоя. Этот баланс определяет, смогут ли клетки, покинувшие опухоль, инициировать рост новых опухолей в отдаленных органах — метастазов, которых так боятся.
Команда Ньето десятилетиями изучала эпителиально-мезенхимальный переход — процесс, который контролирует миграцию клеток во время эмбрионального развития и реактивируется в опухолях, позволяя раковым клеткам распространяться и образовывать метастазы. В новом исследовании ученые пошли еще дальше и показали, что способность к метастазированию не возникает случайно и зависит не только от микроокружения органа-мишени. Вместо этого метастатический потенциал уже заложен в подгруппе клеток первичной опухоли, которые переходят в высокометастатическое состояние под влиянием ключевого фактора — гена Prrx1.
По словам Рауля Хименеса Кастаньо, первого автора исследования, ген Prrx1 выступает в роли главного регулятора поведения опухоли. «Недавно мы обнаружили, что Prrx1 играет ключевую роль в распространении рака. Благодаря этой работе мы знаем, что он не только активирует программы, которые позволяют клеткам отделяться от первичной опухоли, но и контролирует их способность к пролиферации и образованию метастазов или переходу в спящее состояние, которое может длиться годами», — объясняет он.
«Самое поразительное, что уровень Prrx1 определяет его воздействие на раковые клетки», — добавляет Ньето. Это открытие помогает объяснить парадокс, наблюдаемый при многих видах опухолей: высокоинвазивные клетки не всегда дают метастазы, а высокопролиферативные клетки, как правило, не распространяются.
«При очень высоких уровнях экспрессии Prrx1 клетки активно распространяются, но теряют способность к инвазии и росту в других органах. Только при средних уровнях экспрессии достигается оптимальный баланс между подвижностью и ростом», — объясняет исследователь. В таких условиях клетки сочетают в себе инвазивность и пролиферацию, что делает их наиболее опасными с клинической точки зрения.
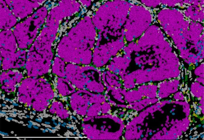
Чтобы прийти к таким выводам, команда использовала генетические модели мышей, анализ отдельных клеток, исследования хроматина и методы пространственной транскриптомики, которые позволяют наблюдать за организацией и поведением клеток непосредственно в опухолевой ткани. Исследователи проанализировали образцы тканей пациенток с раком молочной железы и выявили схожие паттерны экспрессии Prrx1, что позволяет предположить, что описанный механизм может иметь непосредственное отношение к классификации опухолей и клиническому прогнозу.
Полученные данные позволяют по-новому взглянуть на происхождение метастатического потенциала и открывают возможности для разработки стратегий, которые предотвратят переход опухолевых клеток в особенно опасное состояние. Кроме того, они дают основу для улучшения стратификации пациентов за счет выявления маркеров, предсказывающих риск метастазирования.



















