Если у человека диагностируют рак молочной железы, скорее всего, он будет проходить гормональную терапию. Рак молочной железы, положительный по рецепторам эстрогена (ER+), составляет около 75 % случаев. Гормональная терапия — один из самых распространённых и эффективных методов лечения. Однако это далеко не панацея. Некоторые ER+ опухоли становятся устойчивыми к лечению. У многих пациентов наступает ремиссия, но болезнь возвращается в форме, которую нельзя вылечить с помощью гормональной терапии. Биологи из Колд-Спринг-Харбор (CSHL) сделали открытие, которое поможет предотвратить рецидив рака молочной железы и улучшить результаты лечения.
Исследование, опубликованное в журнале Nature Communications, показало, что подавление белка BPTF у мышей может замедлить метастазирование ER+ рака и восстановить восприимчивость опухолей к гормональной терапии. «Это открытие может иметь огромное значение для повышения эффективности лечения рака», — говорит Майкл Чикконе, сотрудник лаборатории. «Мы не лечим рак, мы направляем его в то русло, в котором он может быть побежден, — в гормональную терапию».
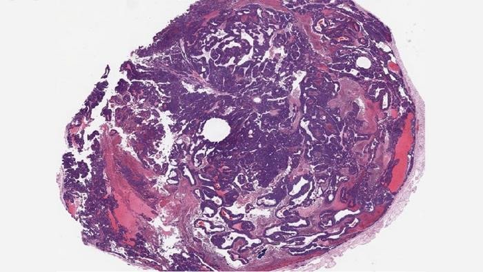
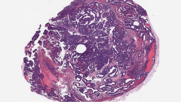
Предыдущие исследования показали, что отключение BPTF замедляет рост раковых клеток молочной железы, но не останавливает формирование опухолей. Поэтому фармацевтические компании не возлагали надежд на этот белок. Однако Чикконе и его коллеги увидели в нём потенциал. Они скрестили классическую модель рака молочной железы с мышью, у которой был отключён BPTF. Было обнаружено, что опухоли у гибридных мышей оставались ER+ на протяжении всего периода развития.
«Не существует модели, которая поддерживала бы гормонозависимый рак на протяжении всего цикла развития опухоли. При лечении тамоксифеном, одним из наиболее распространенных гормональных препаратов для лечения ER+ рака молочной железы, опухоли реагировали на лечение и не росли. Именно тогда мы поняли, что нащупали верный путь», — сказал Чикконе.
Команда протестировала комбинацию потери BPTF и тамоксифена на органоидных системах, клеточных линиях рака молочной железы человека и моделях мышей, устойчивых к гормональной терапии. Во всех случаях комбинация восстанавливала чувствительность к лечению. «Наша работа проливает свет на биологические механизмы, которые не только очень интересны, но и применимы на практике», — сказал Чаттерджи, соавтор работы.
Ученый подчеркнул, что именно фундаментальный подход к исследованиям сделал возможным открытие: «Рак часто изучают с точки зрения бинарной логики. Есть он или нет? Растут опухоли или уменьшаются? Это исследование показало, что существует гораздо больше нюансов. Если мы не будем обращать внимание на типы опухолей, на то, как они растут и где распространяются, мы многое упустим».
[Фото: dos Santos lab/CSHL]



















